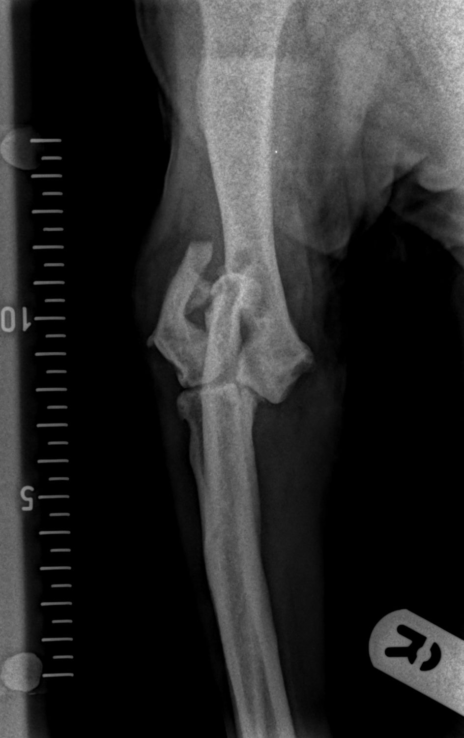
Chase is a  twelve-year-old English Springer Spaniel, with a history of severe arthritis in his elbows, presented lame in the right elbow after sustaining an injury whilst jumping into the car. X-rays revealed a humeral intracondylar fissure that had fractured.

A humeral intracondylar fissure is a crack within the joint of the elbow; this weakens the joint and significantly increases the chance of fracture. It can affect many breeds but is especially common in English Springer Spaniels.

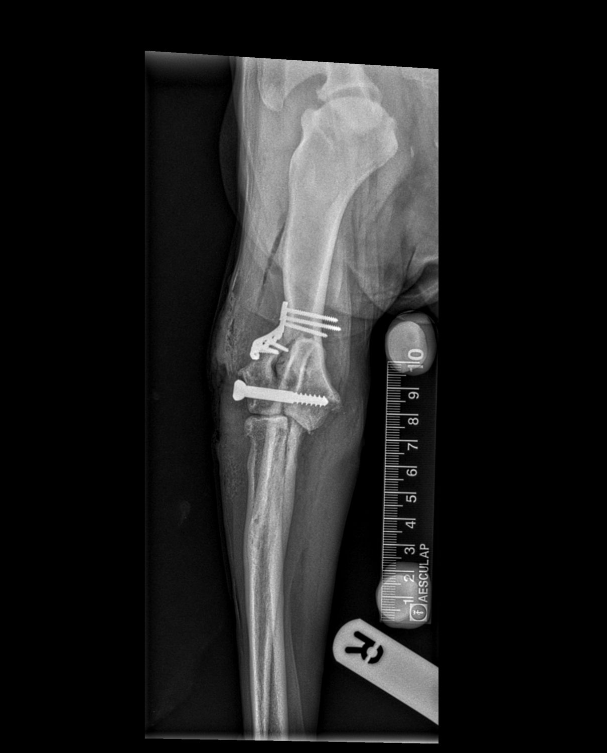
Surgical repair was required, and this was performed by practice principal Dr Martin Hobbs and senior veterinary surgeon Dr Rupert Davenport. A CT scan was carried out prior to the surgery to assist with pre-surgical planning. After incision, the fractured bone was manipulated back into a normal anatomical position, and secured in place using plates and screws. The site was closed using dissolvable sutures, and post-operative x-rays confirmed the surgery had been successful.

Chase recovered from the surgery well and he was hospitalised overnight for monitoring and pain relief. The very next day he had begun to gently place weight onto the leg and was discharged with instructions for strict cage rest and ice packing 3-4 times daily.