General Surgery
The practice carries out a large number of complex procedures each year, accepting referrals from other veterinary practices as well as it’s own case load.
The Tonbridge Veterinary Surgery is equipped with a large operating theatre. Piped anaesthetic gases and the latest anaesthetic agents, along with advanced monitoring equipment ensure that our patients are looked after in a safe environment.
Sterility is a vital part of successful surgery. The practice operates a rigorous infection control programme. The surgical team wear surgical hats, sterile gowns and gloves for surgical procedures. This attention to detail ensures excellent surgical results and a much reduced level of antibiotic use, where the emphasis is put on prevention.
We perform routine surgical procedures Monday-Friday at all 5 of our branches.
For further information on the surgical referral services on offer at our Meopham Hospital please click the button below:
Referral ServicesDentistry
Pets need regular dental checks and treatment, at all 5 branches we have dedicated dental suites, separate from our main operating theatres. The teeth are not sterile and so the dental theatre is some distance from the main theatres to eliminate contamination of other surgical procedures.
Modern dental equipment including ultrasonic scaler and dental drill are used where necessary. We also have an extensive range of handheld equipment suitable for use in all animals from the largest Newfoundland to the smallest dwarf rabbit.
Oral health is just as important in veterinary medicine as it is in humans. Dental disease is not just a disease of the mouth; it is a systemic problem. Any bacteria in the oral cavity are able to enter the bloodstream, effectively resulting in blood poisoning. Dental disease is also very painful, but many animals will continue to eat even when they have severe dental disease.
Preventative oral health care is very important from when animals are very young. Tooth brushing is the single most effective method of plaque control. For more information on dental health care, please contact the hospital and speak one of the team of nurses or vets.
At The Meopham Hospital we also have the ability to perform dental radiographs, further information on this can be found below.
We perform routine dentistry Monday-Friday at all 5 of our branches.
Dental x-rays
What are dental x-rays?
Dental x-rays are radiographic images that take pictures of whole teeth while they are still in place in the jaw. They reveal what is happening both above and below the gumline and allows for early detection of oral diseases.
Why do we take dental x-rays?
We routinely take dental x-rays for cats due to the increased risk of FORLs, and to prevent unnecessary pain and discomfort for our feline patients.
FORLs, or feline odontoclastic resorptive lesions, are a common issue for cats and have three different types. One of these types cannot be seen without x-rays, and will lead to severe inflammation and pain for the cat if the teeth are not removed.
Other common reasons for dental x-rays being taken in both dogs and cats are listed below:
- Oral pain
- Missing teeth
- Loose teeth
- Abnormal tooth colour
- Tooth or jaw fracture
- Dentine or pulp exposure
- Suspected gum disease (periodontitis)
- Detecting oral tumours
- Gum recession
- Comprehensive oral assessments


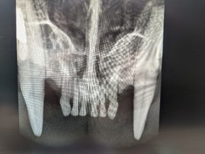
As you can see above, the incisors of this cat on the left are fully intact, with no signs of fracture or resorption. On the right, however, the incisors have snapped leaving the roots intact but invisible above the gum line.


In these images, on the left we have a healthy set of teeth whereas on the right we are beginning to see resorption of the furthest back tooth. This may have been difficult to see without imaging, as it is not a severe level of resorption and may have been covered up by gum inflammation.
How long does it take?
The procedure usually takes around 10 minutes and the images are available immediately for the vet to review.
How many x-rays are usually required?
6 x-rays are usually obtained to obtain a full view of all teeth, although more may be necessary if further investigation is required.
Are there any side effects?
There is a small amount of radiation required to take dental x-rays, there are no harmful radiations effects with this level of radiation.
What are the benefits?
- Non-invasive- reduces unnecessary trauma
- Allows us to see if roots are healthy, allowing for minimal tooth removal
- Early detection of oral diseases
- Pre and post x-rays can provide assurance to confirm no roots have been retained or damaged during extraction.
- Environmentally friendly with no disposing of used chemicals and cassette replacements